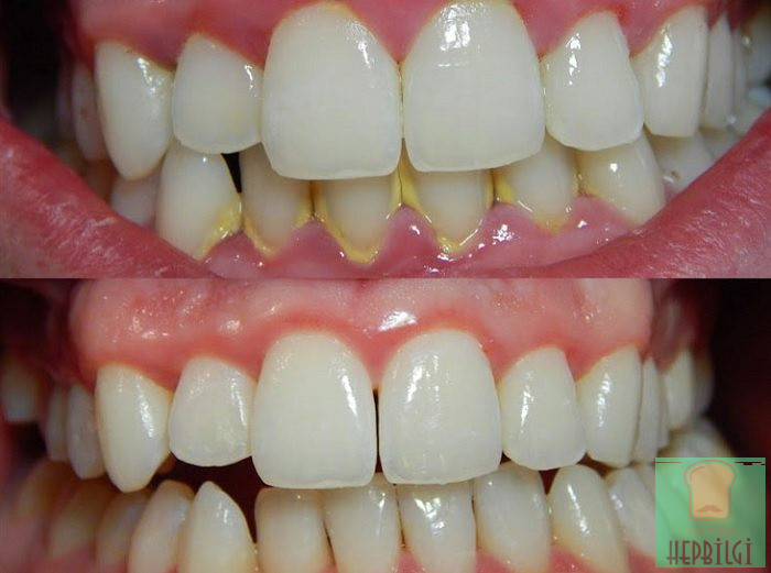
Evde Tartar Lekelerinden Nasıl Kurtulursunuz?

Hazırlanışı Yarım bardak sıcak su ile bir bardak oksijenli suyu karıştırın ve bir dakika boyunca ağzınızı çalkalayın. Ardından yarım bardak oda sıcaklığındaki suyla durulayın. Tartar tabakasından kurtulmanın en etkili yolu karbonattır. Bir yemek kaşığı karbonat ile yarım çay kaşığı tuzu yarım bardak su içerisinde karıştırın ve dişlerinizi bu karışım ile fırçalayın. Dental kürdan kullanarak dişlerinizi nazikçe ovun ve zarar vermemeye dikkat edin.