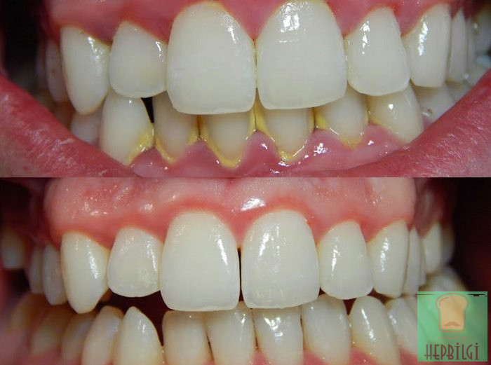
Evde Tartar Lekelerinden Nasıl Kurtulursunuz?

Diş rengini ve sağlığını korumak için bu besinleri tüketin İsviçre veya çedar peyniri tüketirseniz, dişlerinize zarar verecek olan asitleri engellersiniz. Özellikle yıllanmış peynirler daha faydalı olacaktır. Çilek ve domates diş sağlığını koruyacak ve tartar oluşumunu engelleyecektir. İçeriklerindeki zengin C vitamini dişlerinizi beyazlatmada ve tartar yumuşatmada oldukça etkilidir. Direkt olarak dişlerinizi bu meyvelerle ovarak harika sonuçlar elde edebilirsiniz. Ovduktan sonra 5 dakika kadar bekletin ve ardından kabartma tozuyla hazırladığınız karışım ile durulayın. C vitamini zengini diğer meyve ve sebzeler ile de uygulayabilirsiniz. Limon, portakal, biber veya papaya gibi.