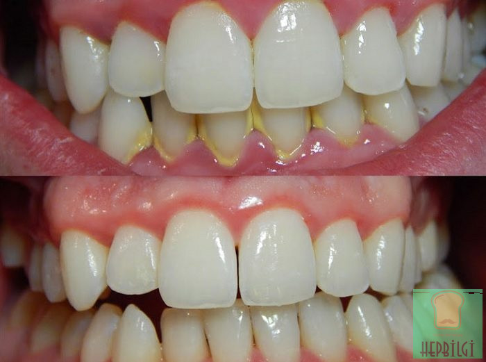
Evde Tartar Lekelerinden Nasıl Kurtulursunuz?
Diğer Tarifler
Yaşam
Annemin Yoğurt Tatlısı
Yaşam
Bu Yöntemle Kırışıklık Giderildiğini İlk Defa Duyacaksınız
Yaşam
Az Malzemeli Pratik Bardak Tatlısı
Yaşam
4 Yufkayla 1 Tepsi Dolusu Çıtır Zarf Böreği
Yaşam
Üstü muhallebili altı kekli münver tatlısı
Yaşam
5 Dakikada Bol Lezzetli Kahvaltılık Sos Tarifi
Yaşam
Kahvaltıyı İçin Portakal Reçeli Tarifi
Yaşam
KAT KAT ÇITIR PUF BÖREĞİ TARİFİ
Yaşam
KAHVALTILIK PEYNİRLİ ÇÖREK TARİFİ
Yaşam
PAMUK GİBİ PORTAKALLI KEK TARİFİ
Yaşam
BAKLAVA TADINDA ŞERBETLİ TATLI (BORCAMDA)
Yaşam
PATATESLİ RULO POĞAÇA TARİFİ
Anasayfa
Magazin
Spor
Haber
Dini
Eğitim
Dünya
Yaşam
İletişim
Masaüstü Görünümü